Please enter mandatory and valid details

BactoSiA™: AI-Assisted AFB
Detection and Bacillary
Grading at Scale

BactoSiA™:
AI-Assisted Tuberculosis (TB) Treatment Monitoring and Follow-Up Solution

BactoSiA by OptraSCAN® combines high-resolution brightfield whole-slide scanning with trained AI algorithms to automatically detect and quantify acid-fast bacilli (AFB) on Ziehl–Neelsen-stained sputum samples. This end-to-end solution is designed to make TB detection more efficient, accessible, and actionable, even in low-resource settings with limited on-site expertise. BactoSiA is powered by OptraSCAN's OS-SiA™ technology - the world's first patented technology that scans, indexes, and analyzes simultaneously.

The Challenge

Tuberculosis remains a significant global health challenge, particularly in regions where laboratories must manage large testing volumes using smear microscopy due to accessibility, infrastructure, and cost considerations.

As demand for TB testing continues, laboratories face increasing pressure to process more samples efficiently, maintain consistency across readers, and reduce manual workload, all while preserving established laboratory practices.

There is a clear need to modernize smear microscopy workflows to support faster, more standardized detection, monitoring, and follow-up without increasing operational burden.

Our Solution: BactoSiA

BactoSiA enhances routine smear microscopy by combining intelligent slide digitization, AI assisted analysis, and digital review into a single, integrated system.

BactoSiA is powered by OS-SiA™ technology - the world’s first patented technology by OptraSCAN that scans, indexes, and analyzes simultaneously in minutes.

Using OptraSCAN scanners powered by OS-SiA™ technology, slides are digitized, indexed, and analyzed as part of the scanning process, enabling laboratories to gain efficiency directly at the point of acquisition rather than relying on downstream processing.

How BactoSiA Works

Scan. Index. Analyze.

  • Scan – Smear slides are prepared using standard laboratory protocols and scanned using OptraSCAN systems equipped with patented OS-SiA™ technology to generate high-resolution digital slide images. Digitization occurs within a scanner-native workflow designed to support streamlined smear microscopy detection, monitoring, and follow-up.
  • Index – BactoSiA™ automatically generates indexed thumbnails, slide maps, and associated metadata during acquisition. Slides are categorized, catalogued, and made searchable within the digital environment. Tagged regions and structured indexing support efficient case organization and enable laboratories to identify and manage detection, monitoring, and follow-up workflows without additional manual sorting.
  • Analyze – BactoSiA™ performs AI-assisted analysis during scanning to support review and interpretation. Relevant regions are highlighted to guide assessment, and confirmed positive smears are graded using standardized WHO-aligned criteria (Scanty, 1+, 2+, 3+). Digital outputs support review, reporting, quality assurance, and longitudinal tracking within OptraSCAN’s IMAGEPath® software ecosystem.

Slide to Report in Minutes

Slide
Scan
Index
Analyze
Slide
Scanner
Computer
Report

Scan:

Smear slides are prepared using standard laboratory protocols and processed on OptraSCAN systems (OS-SiX™, OS-Lite™, OS-Ultra™, and OS-FLi™) to generate high-resolution digital slide images for analysis.

Index:

Automatically generates indexed thumbnails, slide maps, metadata,and contextual information. Once the scan is complete, the slides are already categorized, cataloged, and made searchable. Each scanned region is instantly tagged, and database is prepared for easy integration into the lab workflow

Analyze:

During acquisition, BactoSiA AI performs automated slide triage, marks FOVs, and triages slides as "likely negative" or "likely positive" to prioritize pathologist review. Confirmed positive smears are graded using standardized criteria aligned with WHO guidelines. All images and reports are managed digitally in IMAGEPath® software

BactoSiA™ is designed to support a seamless transition from slide preparation through digital review within routine smear microscopy workflows. By integrating scanning, indexing, and AI-assisted analysis into a single process, slides are categorized as likely positive or likely negative to support structured review prioritization, with positive cases highlighted for focused assessment. This integrated workflow helps laboratories manage testing demand, reduce manual handling, and maintain consistent evaluation practices while operating within established laboratory processes.

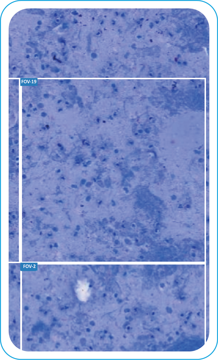
Brightfield Smear Overview

FOV Generated

FOV Generated

Clear FOV

Clear FOV

Visible Bacilli

Visible Bacilli
with Annotations

Software Output Panel

Software Output Panel

Designed for Scale and Operational Efficiency

BactoSiA™ is designed to support laboratories managing high testing volumes and repeat evaluations by:

  • Supporting streamlined handling of routine smear microscopy workflows
  • Assisting review workflows to help manage manual effort and reader variability
  • Supporting consistent evaluation practices over time
  • Operating within existing laboratory staffing models and infrastructure

Where BactoSiA Delivers Most Impact

  • Public health labs requiring rapid AFB smear review, grading, and standardized reporting
  • Mid/high-volume TB labs boosting throughput and standardization for smear assessment, treatment monitoring, and follow-up
  • Mobile units and NGOs supporting smear-based triage and remote expert review
  • Telepathology networks enabling remote QA, second reads, and consistent bacillary grading
Parallelogram

Why BactoSiA

  • BactoSiA is designed to support laboratories that rely on smear microscopy for tuberculosis treatment monitoring and follow-up by bringing digital and AI-assisted workflows into familiar laboratory processes.
  • By integrating AI-assisted analysis directly into routine microscopy workflows, BactoSiA helps laboratories manage repeat evaluations and ongoing testing demands while maintaining established practices, existing infrastructure, and operational continuity.
Video Thumbnail
00:00 / 00:00
Thank you for your interest in OptraSCAN Digital Pathology Solutions!

Please fill out the form below and complete all questions with an asterisk (*)

Please enter mandatory and valid details
Loading
Your message has been sent. Thank you!